Marysville Family Dentistry
Dr. Michael Halasa
Holiday Hours Update
Our office will be closed on December 24th, 25th, and 26th, as well as January 1st.

We will have special hours on the following dates:

Monday, December 22nd: 8:00 AM – 4:00 PM
Monday, December 29th: 8:00 AM – 4:00 PM
December 31st: 9:00 AM – 2:00 PM

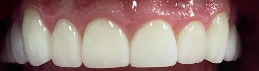
Porcelain Veneers

This patient presented with teeth that were worn and discolored. They weren't satisfied with the appearance of their smile.

Dr. Halasa used porcelain veneers to add length to the front teeth, change the shade of their smile, and even improve tooth alignment for better function and aesthetics.

This patient now smiles with confidence!

Learn More about Porcelain Veneers in Marysville

Are you interested in learning what's possible for your smile? Contact us at (937) 644-1115 to book an evaluation with Dr. Halasa and get started!

 

Related Services:

Veneers
Have Questions? Get in Touch
If you have difficulty using our website, please email us or call us at (937) 644-1115
View the ADA Accessibility Statement
Privacy Policy