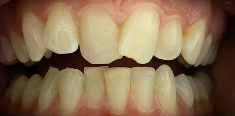
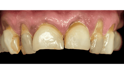
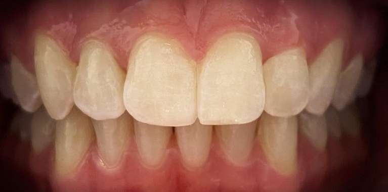
Smile Gallery

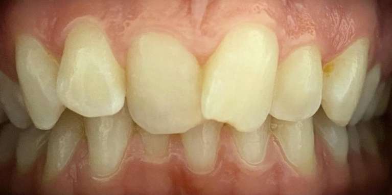
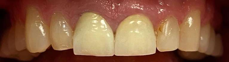
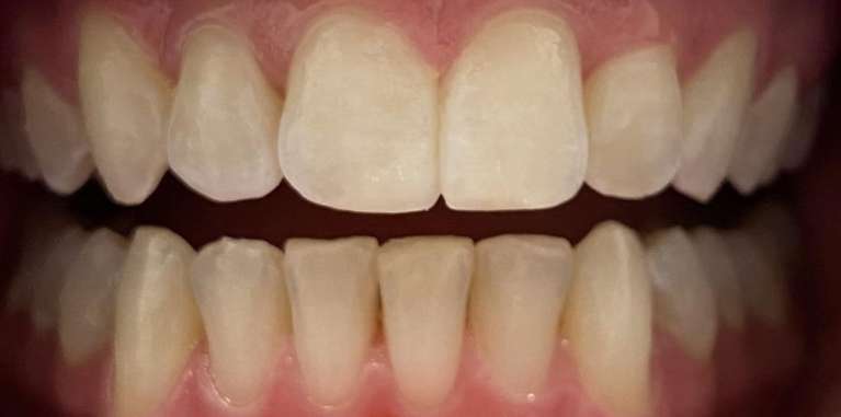
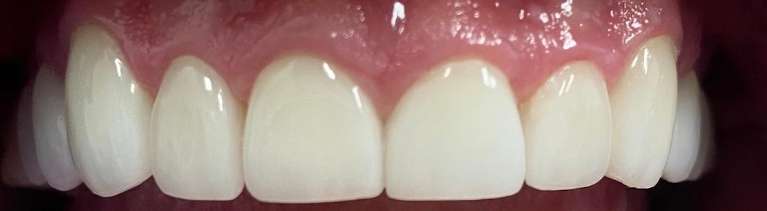
Changing lives through dentistry is one of the most rewarding aspects of our job! Take a look at these before-and-after photos of our patients to learn more about what's possible for your smile. Our gallery features real transformations—including porcelain veneers, clear aligners, and dental implants—performed right here in our office.

We are the preferred choice for cosmetic results for patients across Marysville, Bellefontaine, Urbana, and Springfield. Whether you want to close gaps, repair chips, or brighten your smile, these results show how Dr. Halasa uses advanced technology to deliver life-changing outcomes.

We Warmly Welcome New Patients to Our Practice
Dr. Halasa went far beyond taking the time to answer all of my questions with grace and kindness

Prior to Marysville Family, Dr. Halasa serviced me a couple years ago for a Root Canal. I was incredibly nervous, and I had about 500 questions that I needed resolved prior to the procedure. Dr. Halasa went far beyond taking the time to answer all of my questions with grace and kindness. He respected my stance on certain procedures, and made me feel seen, heard, and valued. When it was time for the procedure, I was quite nervous, but for the entire duration, he was gentle, calm, knowledgeable, and he verbalized every step to me as he worked which made me feel so comfortable.

To this day, nearly 2 years later, I have not had one single issue with the work he performed. Upon learning that he opened his practice, my family, with no reservation, made the commitment to locate, book services, and begin our routine care at the new beautiful location. I recently watched him service my eldest son, and both he and Meredith treated him with the same level of respect and kindness. This further validated that, despite the extended drive time (totally worth it) my family made the right decision in following his practice.

The new office is easy to locate and it is in pristine condition. It feels like a home: beautiful decor, good energy, amazing hospitality, and overall just a peaceful office. My family feels blessed to have such amazing care from him and all of his wonderful staff.