Marysville Family Dentistry
Dr. Michael Halasa
Holiday Hours Update
Our office will be closed on December 24th, 25th, and 26th, as well as January 1st.

We will have special hours on the following dates:

Monday, December 22nd: 8:00 AM – 4:00 PM
Monday, December 29th: 8:00 AM – 4:00 PM
December 31st: 9:00 AM – 2:00 PM

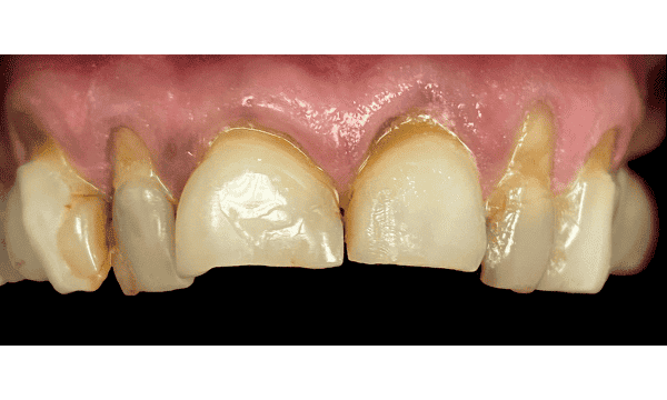
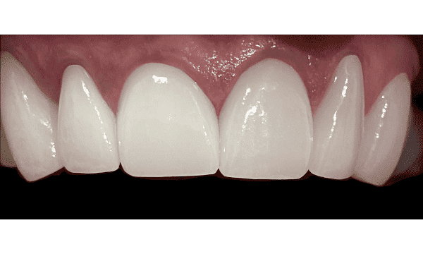
Crowns and Veneers

This patient hated the way her teeth looked when she smiled for years. She had a history of clenching and grinding that affected her confidence and smile. She's been a long time patient who finally decided to discuss cosmetics and we did a mixture of crowns and veneers on her to get this beautiful result. She couldn't be happier!

Have Questions? Get in Touch
If you have difficulty using our website, please email us or call us at (937) 644-1115
View the ADA Accessibility Statement
Privacy Policy