Marysville Family Dentistry
Dr. Michael Halasa
Holiday Hours Update
Our office will be closed on December 24th, 25th, and 26th, as well as January 1st.

We will have special hours on the following dates:

Monday, December 22nd: 8:00 AM – 4:00 PM
Monday, December 29th: 8:00 AM – 4:00 PM
December 31st: 9:00 AM – 2:00 PM

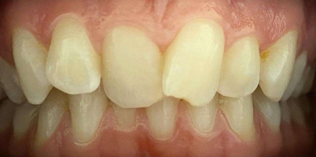
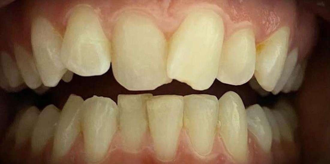
Clear Aligners

This patient's teeth were shifting over time, causing them wear and damage. 

With clear aligners, Dr. Halasa was able to move their teeth back into proper alignment, which also improved bite alignment for better function.

Are Clear Aligners in Marysville Right for You?

If you've considered straightening your teeth but prefer not to wear braces, contact our team at (937) 644-1115 to learn more about what clear aligners can do for you.

Related Services:

Clear Aligners
Have Questions? Get in Touch
If you have difficulty using our website, please email us or call us at (937) 644-1115
View the ADA Accessibility Statement
Privacy Policy